Diş Teli Fiyatları 2026
Ortodontik tedavi planlayan birçok kişi, güncel ücretleri detaylı şekilde öğrenmek ister. Bu noktada diş teli fiyatları 2026 yılı verileri en çok araştırılan konular arasında yer alır. Çünkü hastalar, bütçelerini doğru planlamak için tedavi türlerine göre fiyatları karşılaştırır.
Bu rehberde 2026 yılına ait ortalama diş teli fiyatlarını, tedavi seçeneklerini ve ücretleri etkileyen faktörleri açık ve anlaşılır bir dille ele alıyoruz.
İçindekiler
Ortodontik Tedavi - Diş Teli Tedavisi Nedir?
Diş teli tedavisi, dişlerin ve çene yapısının ideal konuma gelmesini sağlar. Ortodontistler bu tedaviyle yalnızca estetik görünümü değil, aynı zamanda çiğneme fonksiyonunu da iyileştirir. Bununla birlikte düzgün sıralanan dişler ağız hijyenini kolaylaştırır. Bu nedenle hekimler, uzun vadeli ağız ve diş sağlığı için ortodontik tedaviyi sıklıkla önerir.
Diş Teli Fiyatları 2026 Yılında Neye Göre Değişir?
2026 yılında diş teli ücretleri tek bir sabit rakam üzerinden belirlenmez. Aksine ortodontistler her hastayı ayrı ayrı değerlendirir. Bu nedenle fiyatlar, kişinin diş yapısına ve tedavi ihtiyacına göre değişiklik gösterir.
Tedavi Türünün Etkisi
Metal diş telleri 2026 yılında da en yaygın tercih edilen seçeneklerden biridir. Bu yüzden diğer sistemlere göre daha ekonomik bir maliyet sunar. Buna karşılık şeffaf diş telleri ve lingual sistemler estetik avantaj sağladığı için daha yüksek ücretlerle uygulanır.
Tedavi Süresinin Rolü
Tedavi süresi uzadıkça kontrol randevuları ve kullanılan malzeme miktarı artar. Bu durum toplam maliyeti doğrudan etkiler. Ancak basit vakalarda ortodontistler daha kısa sürede başarılı sonuçlar elde eder.
Klinik ve Hekim Deneyimi
Deneyimli ortodontistler tedavi sürecini daha detaylı planlar. Ayrıca teknolojik altyapısı güçlü klinikler dijital ölçüm ve modern sistemler kullanır. Tüm bu faktörler, diş teli fiyatlarına doğrudan yansır.
2026 Yılı Güncel Diş Teli Fiyat Aralıkları
Aşağıdaki tablo, 2026 yılında Türkiye genelinde uygulanan ortalama diş teli fiyatlarını göstermektedir.
| Diş Teli Türü | 2026 Ortalama Fiyat Aralığı |
|---|---|
| Metal diş teli | 25.000 – 40.000 TL |
| Şeffaf diş teli | 40.000 – 70.000 TL |
| Lingual diş teli | 80.000 TL ve üzeri |
Bu fiyatlar genel bilgilendirme amaçlıdır. Karendent hekimleri kesin ücreti detaylı muayene sonrası belirler.
Diş Teli Fiyatları 2026 ile Önceki Yıllar Arasında Neden Fark Var?
Son yıllarda döviz kurları, tıbbi malzeme maliyetleri ve teknolojik yatırımlar önemli ölçüde artmıştır. Ayrıca dijital ortodonti sistemleri hasta konforunu yükseltmiştir. Bu gelişmeler doğrultusunda 2026 yılı diş teli fiyatları, önceki yıllara göre daha yüksek seviyelere ulaşmıştır.
2026 Yılında SGK Diş Telini Karşılıyor mu?
SGK, 2026 yılında da diş teli tedavisini yalnızca belirli yaş gruplarında ve tıbbi zorunluluk bulunan vakalarda karşılar. Estetik amaçlı ortodontik tedaviler SGK kapsamı dışında kalır.
Diş Teli Tedavisi Kimler İçin Uygundur?
Ortodontistler diş teli tedavisini hem çocuklara hem de yetişkinlere uygular. Yaş, tek başına bir engel oluşturmaz. Hekim, diş ve çene yapısını detaylı şekilde değerlendirerek en uygun tedavi planını oluşturur.
2026 yılında diş teli fiyatlarını doğrudan tedavinin kapsamı belirler. Bununla birlikte bazı hastalar yalnızca üst çene için ortodontik tedavi tercih eder. Bu nedenle sadece üst diş teli fiyatları 2026 yılında genel tedavi ücretlerinden farklı seviyelerde belirlenir.
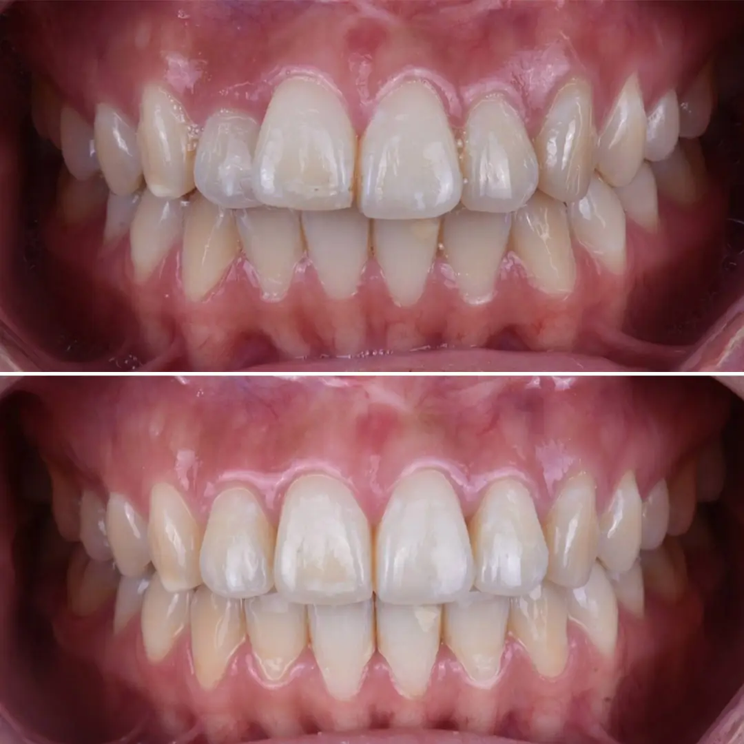
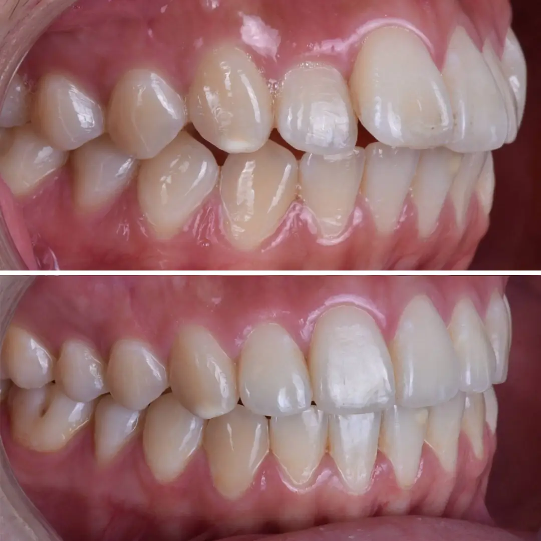
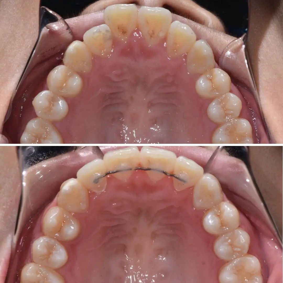
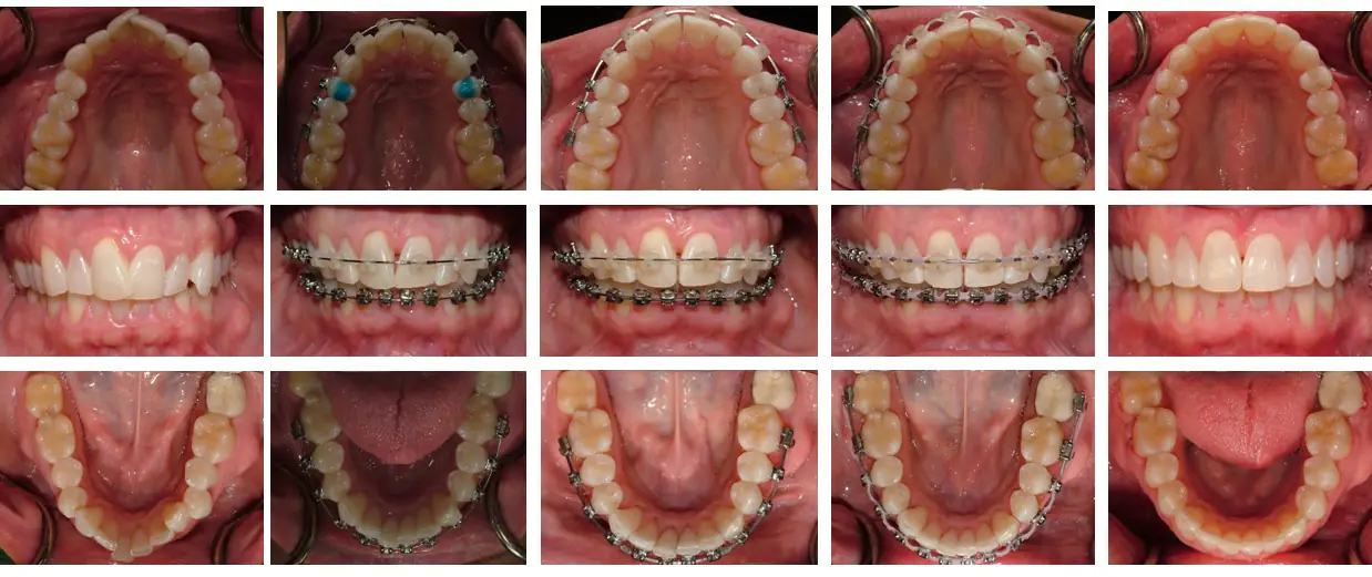
Diş Teli Tedavisi Öncesi ve Sonrası Hasta Görsellerimiz




Sadece Üst Diş Teli Fiyatları 2026
Sadece Üst Diş Teli Fiyatları 2026 konusu, estetik kaygı yaşayan ancak alt çenesinde sorun bulunmayan hastalarımızın en çok araştırdığı başlıklardan biridir. Biz her hastayı detaylı analiz eder ve gerçekten tek çene ortodonti gerekip gerekmediğini netleştiririz. Çünkü doğru planlama tedavinin başarısını doğrudan etkiler.
Öncelikle şunu belirtelim: Tek çene tedavi her hastaya uygun değildir. Eğer çene kapanışı dengeli çalışıyorsa ve sorun yalnızca üst dişlerde görülüyorsa biz sadece üst dişlere tel uygularız. Ancak kapanış problemi varsa iki çeneyi birlikte planlarız.
Karendent’te Ortodontik Tedavi Yaklaşımı
Karendent, ortodontik tedavileri tamamen kişiye özel planlar. Klinik, dijital ölçüm sistemleri ve detaylı analizler kullanır. Böylece hastalar tedavi sürecini daha konforlu, güvenli ve kontrollü şekilde tamamlar.
Sıkça Sorulan Sorular
Diş teli nasıl takılır?
Ortodontist, önce dişleri temizler ve kurutur. Sonra braketleri dişlere yapıştırır ve telleri braketlere bağlar. Gerektiğinde lastik kullanır ve telin gerilimini ayarlar. İşlem genellikle 30–60 dakika sürer ve ağrısızdır. Hastalar, ilk günlerde hafif baskı hissedebilir.
Diş teli ağrı yapar mı?
Tedavinin ilk günlerinde hafif bir baskı hissi oluşabilir. Ancak bu durum kısa sürede azalır.
Diş teli kaç yaşında takılır?
Ortodontist, çocuğun diş ve çene yapısını değerlendirir. Çoğunlukla diş teli 12–14 yaş civarında takılır. Erken müdahale gereken özel durumlarda tedavi daha genç yaşta başlayabilir.
Diş teli fiyatları ne kadar?
2026 yılında diş teli fiyatları kullanılan malzeme ve klinik seçimine göre değişir. Metal diş telleri genellikle 5.000 TL – 9.000 TL, şeffaf veya görünmez teller 10.000 TL – 20.000 TL arasındadır. Klinikler, ödeme planları sunarak hastalara kolaylık sağlar.
Sadece üst diş teli fiyatları ne kadar?
Tek çene tedavisi, çift çene tedavisine göre daha uygun maliyetlidir. 2026 yılı fiyatları 3.000 TL – 6.000 TL arasında değişir. Kullanılan tel tipi ve klinik seçimi fiyatı etkiler.
Diş teli fiyatları 2026 yılında ne kadar?
2026 yılında diş teli fiyatları tedavi türüne göre değişir. Metal diş telleri ortalama 25.000 – 40.000 TL aralığında uygulanır.
Şeffaf diş teli nedir ve fiyatı ne kadar?
Şeffaf diş telleri, estetik kaygısı olan hastalar için uygundur. Görünmez oldukları için sosyal ortamlarda fark edilmez. 2026 yılı fiyatları 10.000 TL – 20.000 TL arasındadır. Klinik ve tedavi süresi maliyeti belirler.
Metal diş teli nedir ve fiyatı ne kadar?
Metal diş telleri klasik, dayanıklı ve etkili bir tedavi yöntemidir. 2026 yılı fiyatları tek çene için 5.000 TL – 9.000 TL arasındadır. Çoklu çene ve paket tedaviler maliyeti artırır.
18 yaş altı diş teli fiyatları nedir?
18 yaş altı hastalar için tedavi süresi kısa olabilir. 2026 yılında metal diş teli fiyatları 4.000 TL – 8.000 TL arasındadır. Klinikler, çocuk hastalar için özel paketler sunar.
Devlet hastanesinde diş teli fiyatları ne kadar?
Devlet hastaneleri özel kliniklere göre daha uygun fiyat sunar. 2026 yılında tek çene diş teli fiyatları 2.000 TL – 5.000 TL arasındadır. Hastalar, randevu süresi ve yoğunluğu göz önünde bulundurmalıdır.
Özel hastanede diş teli fiyatları nedir?
Özel hastaneler, kullanılan malzeme ve tedavi süresine göre fiyat belirler. 2026 yılı metal diş telleri 5.000 TL – 9.000 TL, şeffaf veya görünmez teller 10.000 TL – 20.000 TL arasındadır. Klinikler, ödeme seçenekleri sunar.
2026 yılında şeffaf diş teli pahalı mı?
Evet. Şeffaf diş telleri estetik avantaj sunduğu için metal tellere göre daha yüksek maliyetlidir.
2026’da SGK diş telini karşılıyor mu?
SGK yalnızca tıbbi zorunluluk bulunan ve belirli yaş grubundaki hastaların tedavisini karşılar.
Diş teli tedavisi ne kadar sürer?
Tedavi süresi kişiye göre değişir. Ortalama süreç 12 ila 24 ay arasında tamamlanır.
Yetişkinler 2026’da diş teli taktırabilir mi?
Evet. 2026 yılında da yetişkin hastalar ortodontik tedavi görebilir.
2026’da diş teli taksitle yapılır mı?
Birçok klinik, diş teli tedavisi için taksitli ödeme seçenekleri sunar.
Diş teli sonrası retainer gerekli midir?
Evet. Tedavi sonrası dişlerin yeni konumunu korumak için pekiştirme apareyi kullanılır.
Tek Çene Ortodonti Kimler İçin Uygundur?
Üst dişlerde çapraşıklık yaşayan ve alt dişleri düzgün hizalanmış hastalar tek çene tedavi için aday olabilir. Ayrıca estetik beklentisi yüksek yetişkin hastalar bu yöntemi sıkça tercih eder. Bununla birlikte biz çene ilişkisini mutlaka dijital ölçümlerle değerlendiririz.
Bazı vakalarda yalnızca üst çene tedavisi kısa sürede sonuç verir. Ancak biz uzun vadeli stabiliteyi öncelik kabul ederiz. Bu nedenle her hastaya standart bir plan sunmayız.
Sadece Üst Dişlere Tel Takılır mı?
Evet, biz uygun vakalarda sadece üst dişlere tel takarız. Ancak bu kararı panoramik röntgen, fotoğraf analizi ve klinik muayene sonrası veririz. Çünkü ortodonti yalnızca estetik değil, fonksiyonel bir tedavidir.
Eğer alt ve üst çene uyumlu çalışıyorsa tek çene ortodonti mantıklı bir seçenek olur. Aksi durumda iki çeneyi birlikte planlamak gerekir. Dolayısıyla doğru teşhis büyük önem taşır.
Sadece Üst Diş Teli Fiyatları 2026 Neye Göre Değişir?
Sadece üst diş teli fiyatları 2026 yılında hastanın ihtiyaçlarına göre değişir. Biz fiyat planlamasını kişiye özel oluştururuz. Çünkü her ortodontik vaka farklıdır.
Tedavi süresi, kullanılacak braket türü ve dişlerin hareket ihtiyacı fiyatı belirler. Ayrıca şeffaf plak tercih edildiğinde maliyet değişebilir. Bunun yanında laboratuvar süreçleri de toplam ücreti etkiler.
Örneğin metal braket ile seramik braket arasında fiyat farkı oluşabilir. Şeffaf üst diş teli fiyatları ise estetik beklentisi yüksek hastalar tarafından daha sık araştırılır. Ancak biz en doğru seçeneği klinik değerlendirme sonrası öneririz.
Tek Çene Diş Teli Fiyatı Daha Uygun mu?
Tek çene diş teli fiyatı bazı hastalarda daha ekonomik olabilir. Çünkü planlama yalnızca üst çeneye odaklanır. Ancak her vakada bu durum geçerli değildir.
Bazen tek çene tedavi ek düzeltmeler gerektirir. Bu nedenle biz tedavi planını netleştirdikten sonra ücret bilgisini paylaşırız. Böylece hastalarımız süreci şeffaf şekilde takip eder.
Tek Çene Ortodonti Süresi Ne Kadardır?
Tek çene ortodonti süresi hastanın çapraşıklık derecesine göre değişir. Hafif vakalarda hastalarımız daha hızlı sonuç alır. Ancak biz diş hareketini kontrollü ilerletiriz.
Çünkü biyolojik sınırları zorlamak istemeyiz. Sonuç olarak planlı ilerlediğimizde kalıcı ve dengeli bir kapanış elde ederiz.
Diş teli lastiği ne işe yarar?
Ortodontist, dişlerin doğru pozisyona gelmesini sağlamak için lastikleri uygular. Hastalar lastikleri düzenli değiştirir. Lastikler, diş hareketlerini hızlandırır ve tedavi süresini optimize eder.
Diş teli fırçası neden önemlidir?
Diş teli fırçası, teller ve braketler arasındaki yemek artıklarını temizler. Düzenli kullanımı çürük ve diş eti problemlerini önler. Ortodontist, en uygun fırça ve temizlik tekniklerini hastaya gösterir.
Görünmez diş teli nedir?
Görünmez diş telleri şeffaf plaklarla yapılan estetik tedavilerdir. Sosyal ortamlarda fark edilmez ve rahat kullanılır. 2026 fiyatları 10.000 TL – 20.000 TL arasındadır. Tedavi süresi ve klinik seçimi maliyeti belirler.
Diş teli renkleri nelerdir?
Metal tellerde farklı renkli lastikler kullanabilirsiniz. Çocuklar ve gençler renk seçimiyle tedaviyi eğlenceli hale getirebilir. Şeffaf teller neredeyse görünmezdir. Renkler tedavi süresini veya maliyeti değiştirmez.
Türkiye’deki diş hekimliği uygulamaları ve güncel mevzuatlar hakkında daha fazla bilgi için Türk Dişhekimleri Birliği’nin resmi web sitesini ziyaret edebilirsiniz.
Mart 2026’da güncellenen bu içerik, ağız ve diş sağlığı standartları doğrultusunda İstanbul Ataşehir’de bulunan Karendent Diş Kliniği uzman hekimleri tarafından tıbbi açıdan incelenerek doğrulanmıştır.